
💬 「老年黃斑病」是甚麼?

▶️ 「老年黃斑病變」是長者中較常見的一種病變,由於眼球內的黃斑點老化,漸漸影響中央視野,會直接影響日常生活。 而黃斑病變亦有分為乾或濕性,若能及早發現,或可減慢黃斑點退化速度。
▶️ 除了年齡因素外,吸煙、長時間接觸陽光、高飽和脂肪、高膽固醇、高血壓、心血管疾病和家族遺傳也是屬於後天因素。
💬 「老年黃斑病」種類及成因

▶️ 乾性黃斑病變: 多數患者早期並沒有明顯的病徵,視力下降速度相對緩慢。若病情惡化便有可能發展成濕性黃斑退化。
▶️ 成因:黃斑區積聚代謝物,形成玻璃疣。逐步引致視網膜色素上皮萎縮。

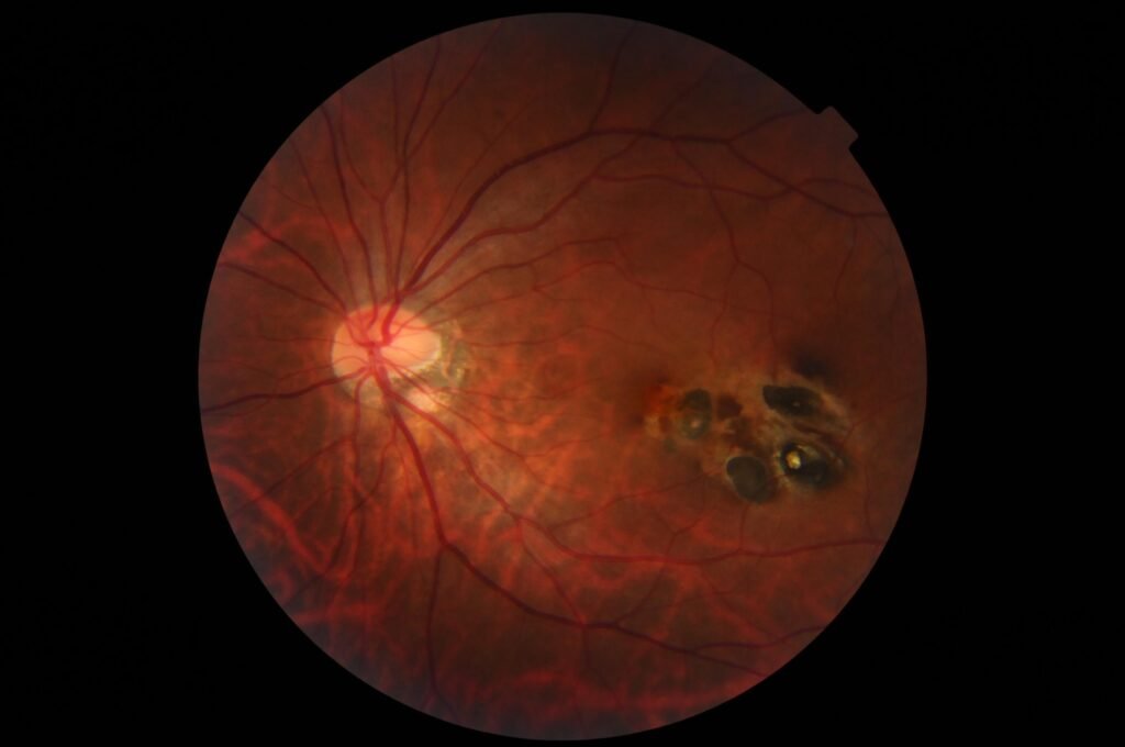
▶️ 濕性黃斑病變:雖然患病率大約只有10%,但若不妥善處理,滲出物和血液聚集於黃斑區會破壞該處的感光細胞,可永久破壞視野中央位置的視力。
▶️ 成因: 是由於脈絡膜血管增生所致,這些增生血管通常都是很脆弱,亦很容易滲漏和出血;而在香港濕性黃斑病變患者當中約有三分一是屬息肉狀脈絡膜血管病變,是身體產生出過多血管內皮生長因子蛋白質,令血管增生成類飲環狀息肉。一旦息肉玻裂,血漿及血水立即滲入玻璃體, 令玻璃體變得混濁,患者可於幾日內失去視力。
💬 「老年黃斑病」有什麼病徵?

視力模糊

視野扭曲

視野出現暗黑點
💬 健視 VISION視光中心能檢查出我有否患上老年黃斑病變嗎?

▶️ 在視力檢測中,視光師能透過觀看眼底相,便能分辨出是否已患上或將會患上 「老年黃斑病變」等風險及症狀。










